Here in North Andover, our team strives to provide service that’s truly exceptional – not just in quality, but in how we treat you every time you visit. Respect, trust, and warmth influence all the work we do.
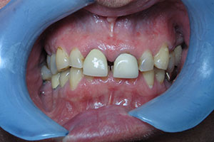
Actual Patient Smile Gallery
- Crowns, Bridges, & Veneers
- Bleaching
- Invisalign
-
Before
After
Before
After
Before
After
Before
After
Before
After
Before
After
Before
After
Before
After
Before
After
Before
After
Before
After
-
Before
After
Before
After
Before
After
Before
After
-
Before
After
Before
After
Before
After
Before
After
Before
After
Before
After
Previous
Next

